Profil Rumah Sakit
Layanan Unggulan
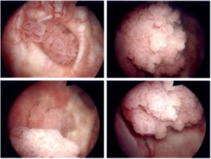
| Tumor Kandung Kencing |
|
|
Tumor kandung kencing merupakan keganasan saluran kencing terbanyak kedua setelah tumor prostat. Tumor ini menyerang pria 2 kali lebih banyak dibandingkan wanita. Di daerah industri kejadian tumor ini meningkat tajam. Perokok mempunyai resiko 2 – 6 kali lebih tinggi menderita tumor kandung kencing dibandingkan yang bukan perokok. Kebiasaan mengkonsumsi kopi dan pemanis buatan diduga meningkatkan resiko timbulnya tumor kandung kencing. Infeksi saluran kemih berulang beresiko besar menjadi tumor kandung kencing terutama akibat zat karsinogen (pencetus tumor) yang dihasilkan bakteri E. coli dan Proteus spp. Seseorang perlu mewaspadai dirinya menderita tumor kandung kencing apabila mengeluh adanya darah di dalam air kencing yang kejadiannya berulang (kambuhan) dan justru tidak disertai rasa nyeri. Meskipun pada beberapa kasus yang sudah lanjut rasa nyeri akan tetap muncul, namun pada stadium awal biasanya tidak nyeri. Seperti gejala pembesaran prostat dimana penderita mengeluh tidak dapat kencing atau kurang lancar dalam berkemih, darah yang menggumpal pada kasus tumor kandung kencing dapat mengakibatkan keluhan yang sama karena gumpalan darah tersebut menghambat keluarnya air kencing. Terapi untuk tumor kandung kencing yang pertama kali dilakukan adalah tindakan reseksi (pengerokan) kandung kencing menggunakan alat yang dimasukkan melalui saluran kencing. Setelah itu tergantung hasil evaluasi, terapi selanjutnya dapat berupa instilasi (memasukkan zat sitostatika melalui kateter) ke dalam kandung kencing, radiasi, kemoterapi dan sistektomi (pengangkatan kandung kencing).
Tentang Rumah Sakit Khusus Bedah AN NUR Yogyakarta RSKB ANNUR Alamat: Jl. Colombo 14-16 Yogyakarta, Telp -0274-585848, Fax. 0274-564110
|
Informasi
Telp. 0274-585848
WA : 0817585848
Email : contact@annurhospital.com| JAM KUNJUNG PASIEN |
| SORE |
| 17.00 - 18.30 WIB |



